


シネフィルム電子化サービス
シネフィルム電子化サービスは、シネフィルムをスキャナーにて電子化・デジタル化・動画変換するサービスです。
セキュリティ重視のデジタル変換
安全なデータ管理で情報を守る-信頼の富士マイクロ



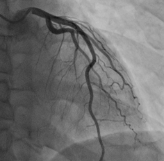
心臓カテーテル検査の冠動脈造影等の血管撮影のシネフィルムを電子化しデジタル動画として活用可能となります。電子データはDICOMフォーマット/MP4/AVI形式に変換いたします。患者ID/患者名/検査日等情報も管理属性として付与いたします。
心臓カテーテル検査等のシネフィルムを電子化し、
DICOM規格にてPACSでの一元管理、
パソコンシステムで活用可能。
劣化対策/保管スペースの削減が可能。

PACS




シネフィルム

各種検査機器の医用画像との一元管理
DICOMサーバー

ISO 9001
個人情報保護
マネジメントシステム
JIS Q 15001
情報セキュリティ
マネジメントシステム
ISO 27001
富士マイクロ電子化事業のご紹介動画
富士マイクロ電子化サービスをご紹介いたします。(YouTube富士マイクロ公式チャンネルへ移動)
セキュリティ対策のご紹介動画
お客様からお預かりしたマイクロフィルムを大切に管理いたします。
個人情報の管理・情報セキュリティ対策の行き届いた自社施設で電子化を行います。外部委託や海外での作業は行いません。



生産部認証取得
品質マネジメント
システム

国内最大級のスキャニングセンター
受付時間:平日9:00〜17:30
ー 気軽にお問い合わせください ー

電子化サービスのご相談お見積もりは無料!










プライバシーマーク認証取得
ISO27001/ISMS認証取得

最適なデジタル化環境

ISO9001認証の品質管理
文書管理の有資格者が対応
DX推進/運用システムの開発
お客様の業務の最適化のために、電子データ運用のソフトウエア開発もいたします。
16名の文書情報管理士、ファイリングデザイナー、電子ファイリング検定、
公文書管理検定等の有資格者が多く在籍。


医療情報管理の豊富な知識
医療情報システムの安全に関するガイドライン等を基準とします。


高解像度テレシネスキャナー
クリーンルームでのスキャニング
生産部認証取得
アーカイブセンター認証取得
医療情報の記録に関する法令とガイドライン

シネフィルム電子化サービス3つの特徴

電子化サービスのお申し込みから納品間での流れ
動画の再生環境に応じてDICOM/MP4/AVI形式に変換いたします。患者ID/患者名/検査日等の管理属性を付与いたします。
シネフィルムの種類・保存状態・劣化状態と、お客様のお考えの運用方法を基に、最適な電子化のご提案をさせて頂きます。概算見積提示可能です。
「ご不明点」「お見積り依頼」「ご相談」などございましたら
ホームページのお問い合わせフォームまたは
お電話(フリーコール 0120-96-0174)にてお気軽にご連絡下さい。
2. お打ち合わせ
1. まずはお問い合わせ下さい
4. ご契約
仕様および価格・納期等ご確認後、ご納得いただければ、ご契約となります。
5. シネフィルムのお預かり
日本全国からのシネフィルムのお預かりが可能です。
数量・セキュリティを考慮し、最適な運搬方法を決定いたします。
品質確認のためサンプル作成を提示する場合がございます。
必要に応じて、秘密保持契約(NDA)、個人情報の取り扱いに関する覚え書きなど締結させていただきます。
仕様が確定し、最終見積の提出となります。
3. 仕様の確認・見積書の提出
6. シネフィルムの状態確認
スキャニング作業前にシネフィルムの状態を確認いたします。
9. ご納品
納品は、電子媒体(HDD/SSD/DVD等)への格納、
ファイルサーバーへのアップロードなどお客様のご指示にご対応いたします。
7. シネフィルムのスキャニング(電子化)
シネフィルムの種類に応じて最適な機器でスキャニングを行います。
スキャニングはクリーンルーム(清浄度クラス1000)内で行うため、
シネフィルムへの埃の付着などノイズを最小限に抑えられます。
8. 動画の作成と管理属性付与







受付時間:平日9:00〜17:30
ー 気軽にお問い合わせください ー

電子化サービスのご相談お見積もりは無料!





医療向けサービス
富士マイクロ電子化サービス
Copyright (C)富士マイクロ株式会社. All rights reserved.